

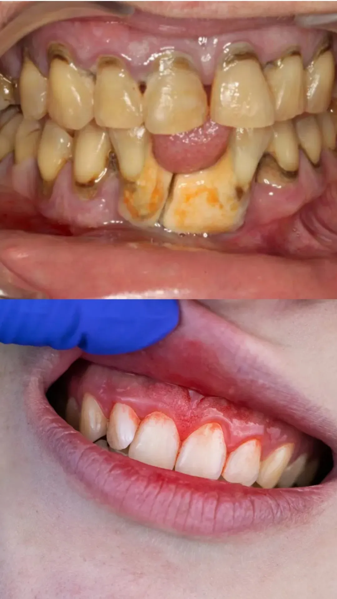
पायरिया मसूड़ों की बीमारी है जो बैक्टीरिया के संक्रमण से होती है। इसमें दांत में बहुत ज्यादा दर्द होता है, मसूड़ों से खून निकलता है और मुंह से बदबू भी आने लगती है।
Image Source : socialपायरिया की परेशानी किसी भी उम्र के लोगों में हो सकती है। ऐसे में मसूड़ों में पायरिया किस विटामिन की कमी से होता है चलिए जानते हैं।
Image Source : socialविटामिन सी शरीर की इम्यून सिस्टम को मजबूत करता है जो बैक्टीरिया से लड़ता है। शरीर में इस विटामिन की कमी होने पर पायरिया होता है।
Image Source : SOCIALइसलिए अपनी डाइट में विटामिन सी से भरपूर खाद्य पदार्थों जैसे- नींबू, संतरा, अंगूर, अमरूद और खट्टे फल को शामिल करें।
Image Source : SOCIALमजबूत दांतों के लिए विटामिन बी से भरपूर फूड्स जैसे डेयरी प्रोडक्ट्स, मछली को अपनी डाइट में शामिल करें।
Image Source : SOCIALविटामिन बी 12 की कमी की वजह से भी पायरिया जैसी मसूड़ों की बीमारी का सामना करना पड़ता है।
Image Source : SOCIALविटामिन डी की कमी दांतों के स्वास्थ्य पर भी असर डाल सकती है और इससे मसूड़ों की बीमारी यानी पायरिया का खतरा बढ़ सकता है.
Image Source : SOCIALपायरिया के अन्य कारणों में खराब ओरल हाइजीन, धूम्रपान, मधुमेह, हार्मोनल परिवर्तन, आनुवंशिक प्रवृत्ति और कमजोर प्रतिरक्षा प्रणाली शामिल हैं।
Image Source : SOCIALNext : किशमिश कौन से अंग के लिए फायदेमंद होती है?