

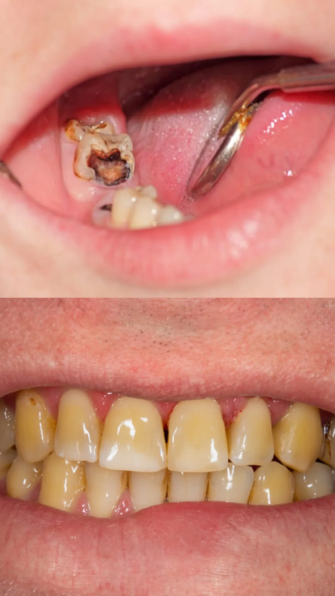
दांतों के सड़न की वजह से अक्सर लोगों को दांत में दर्द और सूजन की समस्या होने लगती है।
Image Source : socialऐसे में अपने दांतों को सड़ने से बचाने के लिए आप नियमित रूप से इन बातों का ध्यान रखें
Image Source : socialदिन में दो बार, सुबह और रात को सोने से पहले, ब्रश करें। साथ ही फ्लोराइड युक्त टूथपेस्ट का इस्तेमाल करें।
Image Source : socialब्रश करने के बाद, माउथवॉश का इस्तेमाल करें, खासकर अगर आप दांतों की सड़न से ग्रस्त हैं।
Image Source : socialअगर आप दांतों के बीच भोजन के कणों को साफ नहीं कर पा रहे हैं तो रोजाना फ्लॉस करें।
Image Source : socialचीनी और स्टार्चयुक्त फूड्स का सेवन कम करें। फल, सब्जियां, और अन्य स्वस्थ खाद्य पदार्थों को शामिल करें।
Image Source : socialकम से कम साल में दो बार दंत चिकित्सक से जांच करवाएं ताकि दांतों की सड़न का पता चल सके।
Image Source : socialअमरूद के पत्तों को पानी में उबालकर कुल्ला करें, यह दांतों को साफ करने और कैविटी को रोकने में मदद करता है।
Image Source : socialलौंग के तेल को रूई पर लगाकर कैविटी वाले दांत पर लगाएं। यह दर्द से राहत दिलाने और कैविटी को कम करने में मदद करता है।
Image Source : socialNext : किस विटामिन की कमी से मुंह में छाले होते हैं?