A
  1. Hindi News
  2. हेल्थ
  3. दांतों में जमे प्लाक बनते हैं सड़न और बदबू की वजह, इन घरेलू उपायों से मिनटों में मिलेंगे मोतियों से चमकते दांत

दांतों में जमे प्लाक बनते हैं सड़न और बदबू की वजह, इन घरेलू उपायों से मिनटों में मिलेंगे मोतियों से चमकते दांत

दांतों पर प्लाक जमने से वे पीले होने लगते हैं और इस वजह से मुंह से भी बदबू आने लगती है। ऐसे में चलिए जानते हैं किन कारणों से दांतों पर प्लाक जमते हैं और अपने ओरल हाइजीन का ध्यान रखने के लिए क्या करें?

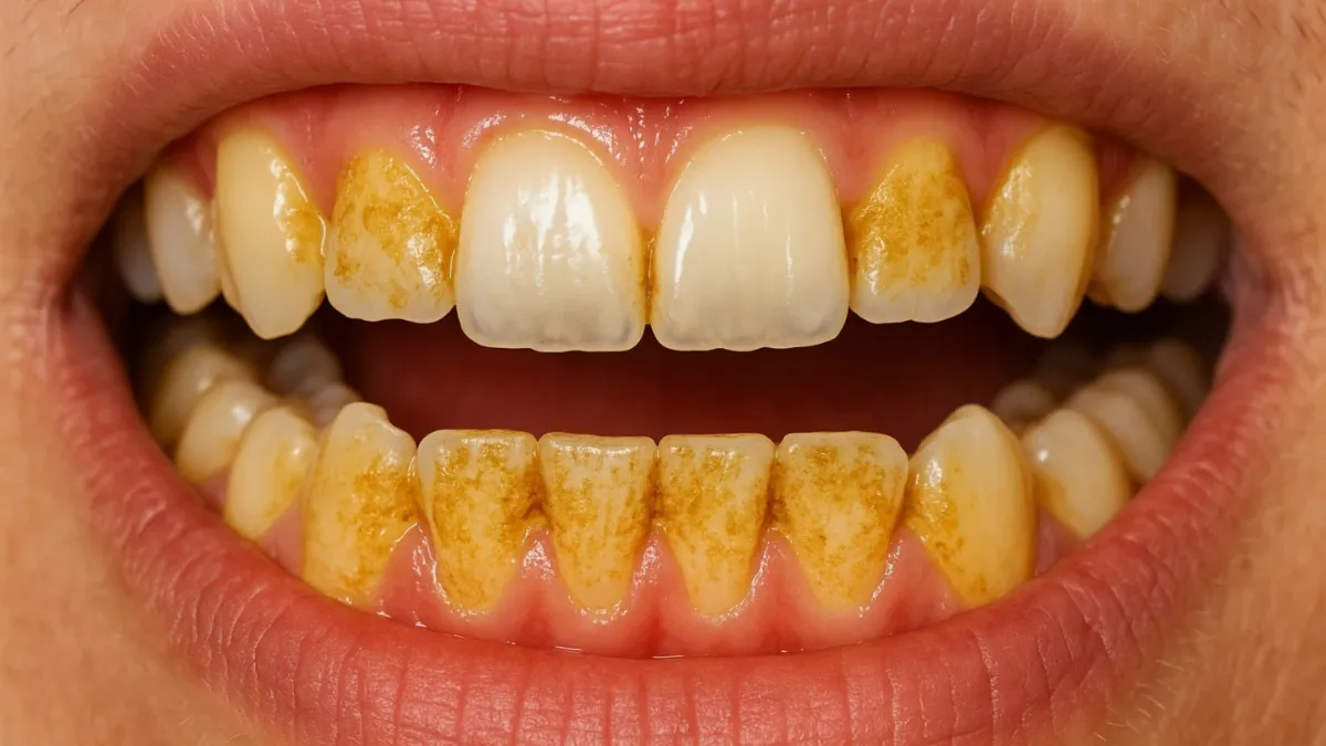
दांत सफेद करने के घरेलू उपाय- India TV Hindi
Image Source : AI दांत सफेद करने के घरेलू उपाय

गंदे और पीले दांत सिर्फ चेहरे की खूबसूरती को ही नहीं बिगाड़ते हैं, बल्कि इस वजह से दांत भी कमजोर होने लगते हैं। दांतों पर प्लाक जमने से वे पीले होने लगते हैं और इस वजह से मुंह से भी बदबू आने लगती है। ऐसे में चलिए जानते हैं किन कारणों से दांतों पर प्लाक जमते हैं और अपने ओरल हाइजीन का ध्यान रखने के लिए क्या करें?

दांतों के पीलेपन का कारण

  • प्लाक का जमा होना: प्लाक एक चिपचिपी परत होती है जो बैक्टीरिया, भोजन के कणों और लार से बनती है। जब आप नियमित रूप से और सही तरीके से ब्रश नहीं करते, तो यह प्लाक दांतों पर जमा होता रहता है। प्लाक का लगातार जमाव दांतों को पीला बनाता है। इसके अलावा, यह मसूड़ों की बीमारियों और सांसों की दुर्गंध का भी कारण बन सकता है। 

  • टैनिन: कॉफी, चाय, और तंबाकू जैसे पदार्थों में टैनिन नामक रसायन पाया जाता है। यह टैनिन दांतों की बाहरी परत पर चिपक जाता है और धीरे-धीरे दाग पैदा करता है। ये दाग समय के साथ गहरे होते जाते हैं, जिससे दांत पीले दिखने लगते हैं। दांतों की नियमित और उचित सफाई न करने से भी प्लाक और दाग आसानी से जमा हो जाते है

इन देसी उपाय को आज़माए: 

  • बेकिंग सोडा: पीले दांतों को चमकाने में बेकिंग सोडा बेहद फायदेमंद है। बेकिंग सोडा प्लाक हटाता है। मुंह में pH को संतुलित करने में मदद करता है और दांतों को सफ़ेद बनाने में बेहद सहायक है। ज़रा से नारियल में चुटकी भर हल्दी, टूथपेस्ट, आधा चम्मच नींबू का जूस और आधा चम्मच बेकिंग सोडा मिलाएं और इससे दांतों की सफाई करें। 

  • संतरे का छिलका: संतरे का छिलका भी पीले दांतों की छुट्टी कर देता है। संतरे के छिलके को सूखाकर उसका पाउडर बना लें। अब उस पाउडर से दांतों की सफाई करें। ऐसा करने से आपके पीले दांत दूध की तरह सफेद हो जायेंगे और मुंह से गंदी बदबू भी नहीं आयेगी।

  • अमरूद और नीम के पत्ते: अमरूद और नीम के पत्ते पीले दांतों को सफ़ेद कर मुंह की गंदगी भी दूर करते हैं। अमरूद के ताजे पत्तों को चबाने या उबले हुए अमरूद के पत्तों से बने माउथवॉश का इस्तेमाल करने से दांतों को सफ़ेद करने में मदद मिल सकती है।

डिस्क्लेमर: इस आर्टिकल में सुझाए गए टिप्स केवल आम जानकारी के लिए हैं। सेहत से जुड़े किसी भी तरह का फिटनेस प्रोग्राम शुरू करने अथवा अपनी डाइट में किसी भी तरह का बदलाव करने या किसी भी बीमारी से संबंधित कोई भी उपाय करने से पहले अपने डॉक्टर से सलाह जरूर लें। इंडिया टीवी किसी भी प्रकार के दावे की प्रामाणिकता की पुष्टि नहीं करता है।

Latest Health News