Saturday, January 17, 2026
Advertisement
  1. Hindi News
  2. लाइफस्टाइल
  3. हेल्थ
  4. सिर्फ 5 मिनट में ऐसे पाएं दांतो के कीड़ों से हमेशा के लिए निजात

सिर्फ 5 मिनट में ऐसे पाएं दांतो के कीड़ों से हमेशा के लिए निजात

आप दांत में कीड़ों की समस्या से निजात पाने के लिए आप कई तरह की दवाओं का सेवन करते है, लेकिन कीड़ो से निजात नहीं पा पाते है। इस समस्या से निजात पाने के लिए आप ये घरेलू उपाय अपनाएं। इससे सिर्फ 5 मिनट में दांतों के कीड़ो से निजात पा सकते है।

Written by: India TV Lifestyle Desk
Published : Nov 13, 2017 05:54 pm IST, Updated : Nov 13, 2017 05:55 pm IST
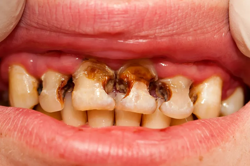
teeth cravity- India TV Hindi
teeth cravity

हेल्थ डेस्क: दांतो में कीड़ा लगना एक बहुत बड़ी समस्या है। अगर इसका इलाज समय पर नहीं किया गया, तो कई समस्याओं का सामना करना पड़ सकता है। दांत हमारे लिए किसी मोती से कम नहीं होते है। इसके बिना आपकी सुंदरता में ग्रहण लग सकता है।

अगर आपके दातों ने ठीक से आपका साथ न दिया, तो आपको कई समस्याओं का सामना करना पड़ता है। इसके कारण न तो आप ठीक से खा सकते है न ही पी सकते है। दांत में कीड़े लग जाने के कारण असहनीय दर्द भी होता है। जो कि किसी दवा से जल्दी नहीं जाता है।

अगर आप इन समस्या से निजात पाने के लिए आप कई तरह की दवाओं का सेवन करते है, लेकिन कीड़ो से निजात नहीं पा पाते है। इस समस्या से निजात पाने के लिए आप ये घरेलू उपाय अपनाएं। इससे सिर्फ 5 मिनट में दांतों के कीड़ो से निजात पा सकते है। जानिए इऩ घरेलू उपाय के बारें में।  

कीड़ा लगने के कारण

  • देखभाल न करने के कारण कीड़े हो जाते है।
  • अधिक मीठा खाने से दांतो में चिपक जाने के कारण।
  • रात को सोने से पहले दांतो की सफाई न करने के कारण।
  • पान, मसाला, तंबाकू का सेवन करने से दांतों में कीड़ें लग जीते है।
  • जब हमारे शरीर में विटामिन सी और विटामिन डी की कमी हो जाती है। जिसके कारण दांत कमजोर हो जाते है।

जायफल का इस्तेमाल

जायफल का इस्तेमाल मसालों के साथ-साथ औषधि के रुप में किया जाता है। इसका इस्तेमाल कर आसानी से आप कीड़े से निजात पा सकते है।

ये भी पढ़ें:

अगली स्लाइड में पढ़े कैसे करें इस्तेमाल

Latest Lifestyle News

Google पर इंडिया टीवी को अपना पसंदीदा न्यूज सोर्स बनाने के लिए यहां
क्लिक करें

India TV हिंदी न्यूज़ के साथ रहें हर दिन अपडेट, पाएं देश और दुनिया की हर बड़ी खबर। Health से जुड़ी लेटेस्ट खबरों के लिए अभी विज़िट करें लाइफस्टाइल

Advertisement
Advertisement
Advertisement